Announcements

Updates on campus events, policies, construction and more.

close  

Information for Our Community

Whether you are part of our community or are interested in joining us, we welcome you to WashU Medicine.

close  


Visit the News Hub

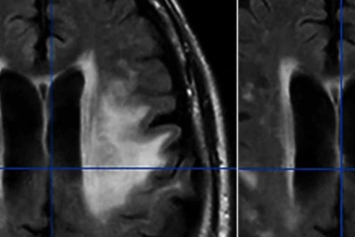
Breaking down brain barriers to fight cancer

May 5, 2016

Source: Reuters

View Article

Washington University School of Medicine‘s 2,100 employed and volunteer faculty physicians also are the medical staff of Barnes-Jewish and St. Louis Children’s hospitals. The School of Medicine is one of the leading medical research, teaching and patient-care institutions in the nation, currently ranked sixth in the nation by U.S. News & World Report. Through its affiliations with Barnes-Jewish and St. Louis Children’s hospitals, the School of Medicine is linked to BJC HealthCare.