Announcements

Updates on campus events, policies, construction and more.

close  

Information for Our Community

Whether you are part of our community or are interested in joining us, we welcome you to WashU Medicine.

close  


Visit the News Hub

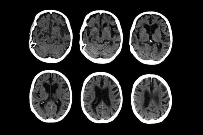
F.D.A. panel declines to endorse controversial Alzheimer’s drug

November 6, 2020

C.T. scans of the brain of a 74-year-old with Alzheimer’s diseaseZephyr/Science Source

Source: New York Times

View Article

Washington University School of Medicine’s 1,500 faculty physicians also are the medical staff of Barnes-Jewish and St. Louis Children’s hospitals. The School of Medicine is a leader in medical research, teaching and patient care, ranking among the top 10 medical schools in the nation by U.S. News & World Report. Through its affiliations with Barnes-Jewish and St. Louis Children’s hospitals, the School of Medicine is linked to BJC HealthCare.