Announcements

Updates on campus events, policies, construction and more.

close  

Information for Our Community

Whether you are part of our community or are interested in joining us, we welcome you to WashU Medicine.

close  


Visit the News Hub

Novel way to ‘rev up’ brown fat burns calories, limits obesity in mice

Scientists identify alternate way cells produce heat that appears to improve metabolic health

by Julia Evangelou StraitSeptember 17, 2025

Weisensee Lab

Researchers at Washington University School of Medicine in St. Louis have identified a novel way brown fat — an energy-burning form of fat — can rev the body’s metabolic engine, consuming cellular fuel and producing heat in a way that improves metabolic health. The study, in mice, reveals new avenues to exploit brown fat to treat metabolic diseases, such as insulin resistance and obesity.

The study is published Sept. 17 in Nature.

Brown fat is known for its ability to turn energy (calories) from food into heat. In contrast, white fat stores energy for later use while muscle makes energy immediately available to do work. Brown fat’s heat production helps the body stay warm in cold temperatures, and exposure to cold can increase brown fat stores. Researchers have proposed that activating brown fat could support weight-loss efforts by boosting calorie burn.

“The pathway we’ve identified could provide opportunities to target the energy expenditure side of the weight loss equation, potentially making it easier for the body to burn more energy by helping brown fat produce more heat,” said senior author Irfan Lodhi, PhD, a professor of medicine in the Division of Endocrinology, Metabolism & Lipid Research at WashU Medicine. “Boosting this kind of metabolic process could support weight loss or weight control in a way that is perhaps easier to maintain over time than traditional dieting and exercise. It’s a process that basically wastes energy — increasing resting energy expenditure — but that’s a good thing if you’re trying to lose weight.”

A back-up heater in brown fat

The traditional understanding of brown fat’s heat production involves mitochondria —power plants within the body’s cells. Scientists have long known that mitochondria in brown fat have a method of disengaging from fuel production and instead producing heat, via a molecule called uncoupling protein 1. Yet they have also known that mice with brown fat that lack uncoupling protein 1 are still able to burn energy and produce heat, pointing to the existence of back-up burners in cells.

The new study implicates cellular parts called peroxisomes as important alternative heat producers in brown fat. Peroxisomes are small compartments in cells involved in processing fat molecules. When exposed to cold, peroxisomes in brown fat increase in number, the researchers found. This increase is even more dramatic in mice whose mitochondria are deficient in uncoupling protein 1, suggesting that peroxisomes may be able to compensate if mitochondria lose their heat-production ability.

Lodhi and his colleagues discovered that peroxisomes consume fuel and produce heat in a metabolic process that centers on a key protein in these cell parts called acyl-CoA oxidase 2 (ACOX2). Mice missing ACOX2 in brown fat lost some ability to tolerate cold, showing lower body temperatures after exposure to cold compared with typical mice. In addition, compared with typical mice, their tissues did not make good use of the blood sugar-regulating hormone insulin, and they were more prone to obesity when fed high-fat diets.

In contrast, mice genetically engineered to make unusually high amounts of ACOX2 in brown fat showed increased heat production, better cold tolerance and improved insulin sensitivity and weight control when fed the same high-fat diet.

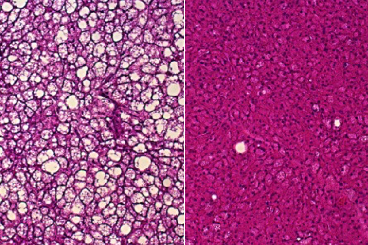
Lodhi Lab
Brown fat tissue from mice deficient in uncoupling protein 1 and fed a high-fat diet accumulates white fat droplets (left), a sign of impaired heat production. In brown fat from mice also deficient in uncoupling protein 1 but genetically engineered to have unusually high amounts of the protein ACOX2, white fat doesn’t build up on a high-fat diet (right) and heat production is better.

Using a fluorescent heat sensor they developed, the researchers found that when ACOX2 metabolized certain fatty acids, brown fat cells got hotter. They also used an infrared thermal imaging camera to show that mice lacking ACOX2 produced less heat in their brown fat.

While human bodies can manufacture these fatty acids, the molecules also are found in dairy products and human breast milk and are made by certain gut microbes. Lodhi said this raises the possibility that a dietary intervention based on these fatty acids — such as a food, probiotic or “nutraceutical” intervention — could boost this heat-production pathway and the beneficial effects it appears to have. He and his colleagues also are investigating possible drug compounds that could activate ACOX2 directly.

“While our studies are in mice, there is evidence to suggest this pathway is relevant in people,” Lodhi said. “Prior studies have found that individuals with higher levels of these fatty acids tend to have lower body mass indices. But since correlation is not causation, our long-term goal is to test whether dietary or other therapeutic interventions that increase levels of these fatty acids or that increase activity of ACOX2 could be helpful in dialing up this heat production pathway in peroxisomes and helping people lose weight and improve their metabolic health.”

Liu X, He A, Lu D, Hu D, Tan M, Abere A, Goodarzi P, Ahmad B, Kleiboeker B, Finck BN, Zayed M, Funai K, Brestoff JR, Javaheri A, Weisensee P, Mittendorfer B, Hsu F, Van Veldhoven PP, Razani B, Semenkovich CF, Lodhi IJ. Peroxisomal metabolism of branched fatty acids regulates energy homeostasis. Nature. Sept. 17, 2025. DOI: 10.1038/s41586-025-09517-7.

This work was supported by the National Institutes of Health (NIH), grant numbers R01DK133344, R01DK115867, R01DK132239, GM103422, T32DK007120, S10 OD032315, DK020579 and DK056341; and by the FP7 funded European Infrafrontier-I3 project. The content is solely the responsibility of the authors and does not necessarily represent the official views of the NIH.

Lodhi and Liu are named on a provisional patent application filed by Washington University related to targeting ACOX2 activation as a treatment for obesity and related metabolic diseases.

About Washington University School of Medicine

WashU Medicine is a global leader in academic medicine, including biomedical research, patient care and educational programs with 2,900 faculty. Its National Institutes of Health (NIH) research funding portfolio is the second largest among U.S. medical schools and has grown 83% since 2016. Together with institutional investment, WashU Medicine commits well over $1 billion annually to basic and clinical research innovation and training. Its faculty practice is consistently within the top five in the country, with more than 1,900 faculty physicians practicing at 130 locations. WashU Medicine physicians exclusively staff Barnes-Jewish and St. Louis Children’s hospitals — the academic hospitals of BJC HealthCare — and treat patients at BJC’s community hospitals in our region. WashU Medicine has a storied history in MD/PhD training, recently dedicated $100 million to scholarships and curriculum renewal for its medical students, and is home to top-notch training programs in every medical subspecialty as well as physical therapy, occupational therapy, and audiology and communications sciences.

Julia covers medical news in genomics, cancer, cardiology, developmental biology, biochemistry & molecular biophysics, and gut microbiome research. In 2022, she won a gold award for excellence in the Robert G. Fenley Writing Awards competition. Given by the Association of American Medical Colleges, the award recognized her coverage of long COVID-19. Before joining Washington University in 2010, she was a freelance writer covering science and medicine. She has a research background with stints in labs focused on bioceramics, human motor control and tissue-engineered heart valves. She is a past Missouri Health Journalism Fellow and a current member of the National Association of Science Writers. She holds a bachelor's degree in engineering science from Iowa State University and a master's degree in biomedical engineering from the University of Minnesota.